CoastClear Aligners®
Do you want straighter teeth but dislike the look of braces? Your Smile Team at Coast Dental Dunedin can help! Instead of applying brackets and wires to your teeth, your Coast Dental Dunedin dentist at 916 Curlew Rd in Dunedin, Florida will create a series of comfortable, lightweight clear aligners that you can remove to eat and brush your teeth. Each set of CoastClear Aligners® is in a slightly different shape designed to gradually shift your teeth into proper alignment, and our aligners are thin, clear and almost invisible, so most people won’t even notice you’re wearing them!
We Make it Easy at Coast Dental Dunedin
- Free Complimentary Consultation†*
- Affordable Payment Options Available for Everyone
- No Additional Charge for Impressions
- Direct to You with No Regular Office Visits
At Coast Dental Dunedin, we do it for you. Get more information at CoastClearAligners.com
or call Coast Dental Dunedin at (844) 6-SMILES today to schedule your complimentary CoastClear Aligners® consultation.†*
Here’s What You’ll Get
- CoastClear Aligners®
- Initial Consultation
- Oral Examination
- X-Rays, Complete Series
- Oral/Facial Panoramic Images
- Oral Hygiene Instructions
- InteliSonic Toothbrush
- Teeth Whitening
Our Smile Team at Coast Dental Dunedin will help you get started.
At your free consultation at our office in Dunedin, you will:
- Learn how CoastClear Aligners® can improve your smile and health.
- Determine the estimated length of your treatment.
- Find out how much CoastClear Aligners® will cost.
- Choose from our affordable payment options.
The Straight Talk
Poorly aligned teeth can put extra stress and pressure on your teeth and jawbone, which can cause:
- Receding gums and gum disease
- Chipping and wearing of teeth
- Food traps, bad breath and difficulty flossing
- Jaw pain and headaches
- Sleep apnea
Straight teeth are healthy teeth
When your teeth are property aligned, the health benefits are clear.
Healthier gums
It’s easier to brush and floss around properly aligned teeth, and you are less likely to have pockets between gums and teeth that trap bacteria and food that may cause plaque, decay and bad breath.
Improved hygiene
Properly aligned teeth reduce plaque, tooth decay, and the risk of gum disease.
Less wear and trauma
Aligned teeth lowers the risk of tooth chipping, breaking and wear, which can be costly to repair. Proper alignment also reduces stress on the jawbone and joints.
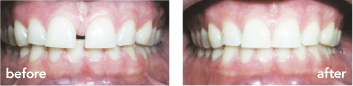
Gap/Diastema
No. of aligners: 10 Duration: 5 months
Space Reduction
No. of aligners: 12 Duration: 6 months
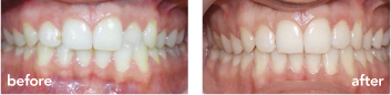
Crossbite
No. of aligners: 14 Duration: 7 months
Bite Correction
No. of aligners: 15 Duration: 7.5 months
Crowding
No. of aligners: 28 Duration: 14 months
Why Would You Trust Your Smile to Mail Order?
When you choose CoastClear Aligners®, your dentist and smile team at Coast Dental Dunedin in Dunedin, Florida will be there with you every step of the way. Let’s face it, you only get one permanent set of teeth. Do you really want to turn fixing your smile into a “do-it-yourself” project? We didn’t think so either.
Your Coast Dental Dunedin dentist will take the time to discuss your treatment throughout your care and we’ve made pricing less expensive than other options.
Call Coast Dental Dunedin at (844) 6-SMILES today to schedule your complimentary CoastClear Aligners® consultation†* and get ready to love your smile!
“The American Dental Association strongly discourages the practice of do-it-yourself orthodontics because of the potential for harm to patients.”
Why You Will Love CoastClear Aligners®
First, you’ll love the affordability of CoastClear Aligners®. For a fraction of the cost of traditional braces, we’ll create a series of comfortable, lightweight aligners that you can remove to eat and brush your teeth. Each set of CoastClear Aligners® is in a slightly different shape designed to gradually shift your teeth into proper alignment giving you the smile you’ve always wanted.
Best of all, CoastClear Aligners® are so clear, they’re almost invisible so most people won’t even notice you’re wearing them. Call Coast Dental Dunedin at (844) 6-SMILES to schedule your complimentary CoastClear Aligners® consultation.
† Free Consultation. CLRFC. ADA 9310. Save $161. Free Take-Home Whitening. ADV– Free Whitening Special–Marketing 2020. $25 value. Free INTELISONIC. $169.99 value, while supplies last. CoastClear Aligners®. CLRGD. ADA D8040. Full price: $2499. $299 down payment. Finance $2,200 for $89 per month with Covered Care financing. Your terms may vary. Rates range from 14.9% to 24.9% APR. For example, 31 monthly payments of $89 at 17.9% APR. You must be 18 years of age to apply and provide two valid forms of payment. Ask office for details. *Minimum fee only. Fee may vary with complexity of case. ADDITIONAL CHARGES MAY BE INCURRED FOR RELATED SERVICES WHICH MAY BE REQUIRED IN INDIVIDUAL CASES. (FL PATIENTS ONLY – THE PATIENT AND ANY OTHER PERSON RESPONSIBLE FOR PAYMENT HAS A RIGHT TO REFUSE TO PAY, CANCEL PAYMENT, OR BE REIMBURSED FOR PAYMENT FOR ANY OTHER SERVICE, EXAMINATION, OR TREATMENT THAT IS PERFORMED AS A RESULT OF AND WITHIN 72 HOURS OF RESPONDING TO THE ADVERTISEMENT FOR THE FREE, DISCOUNTED FEE, OR REDUCED FEE SERVICE, EXAMINATION, OR TREATMENT.) The dentists and hygienists are employees or independent contractors of Coast Florida, P.A., Coast Dental, P.A., (Adam Diasti, DDS, DN12490), Coast Dental of Georgia, P.C., (Adam Diasti, DDS, DN11634) or Coast Dental of Texas, PC (Adam Diasti, DDS, Lic. 32327). Coast Dental Services, LLC complies with applicable Federal civil rights laws and does not discriminate on the basis of race, color, national origin, age, disability, or sex. © 2022 CoastClear Aligners®. All rights reserved.




